whatsapp call

A CORRECT DIAGNOSIS
IS THREE FOURTHS
THE REMEDY

At Prudent Diagnostics, we are dedicated to providing accurate and comprehensive dental diagnoses.

Book Appointment

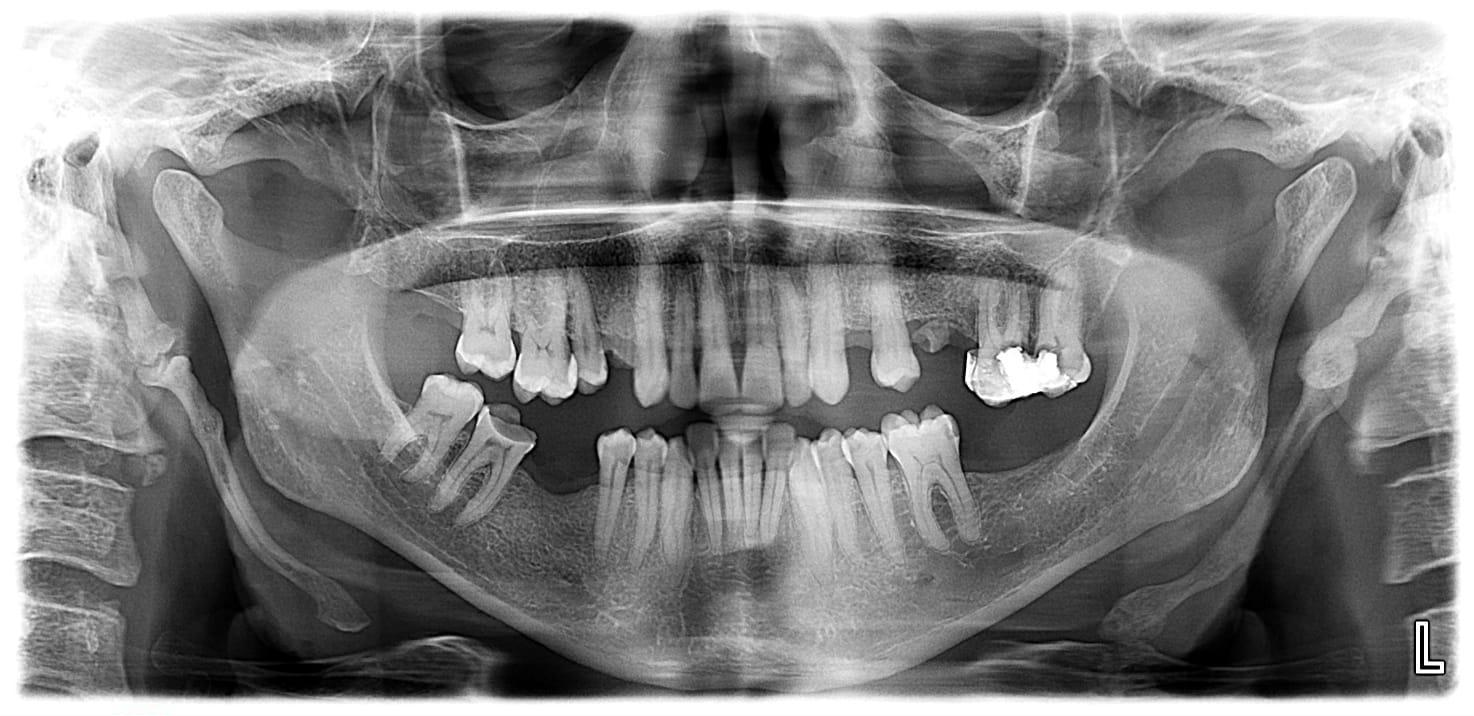
ORAL RADIOLOGY

It encompasses various imaging techniques, including traditional x rays such as OPG, CEPH and advanced imaging like Cone beam computed tomography (CBCT).
These methods visualise teeth and bone providing crucial diagnostic information.

READ MORE

3D PRINTING SERVICES

3D printing in dentistry creates physical models from digital scans. It's useful for fabricating surgical guides, crowns, and study models, improving diagnosis, treatment planning, customization, patient outcomes and communication with patient.

READ MORE

ORAL PATHOLOGY

Oral pathology biopsy reporting examines tissue samples under a microscope to diagnose diseases of the mouth, jaws, and related structures. These reports are crucial for identifying conditions like cancer, infections etc guiding treatment and providing a definitive diagnosis for oral health issues.

READ MORE

SERVICES

Orthopantomogram (OPG)

Cone Beam Computed Tomography (CBCT)

Airway Analysis

3D Models

Surgical Guides

PRODUCTS

Product 1

Lorem ipsum dolor sit amet, consectetur adipisicing elit, sed do eiusmod tempor incididunt ut labore et...

Read More

Product 2

Lorem ipsum dolor sit amet, consectetur adipisicing elit, sed do eiusmod tempor incididunt ut labore et...

Read More

Product 3

Lorem ipsum dolor sit amet, consectetur adipisicing elit, sed do eiusmod tempor incididunt ut labore et...

Read More

Product 4

Lorem ipsum dolor sit amet, consectetur adipisicing elit, sed do eiusmod tempor incididunt ut labore et...

Read More

BOOK APPOINTMENT

Contact Us

Address
D14-15, Ground Floor, D tower, R K Casta, Near Healing Touch Hospital, Bharuch, Gujarat - 392001

Contact No
+91 78630 50948

Email
prudentbh@gmail.com

Timings
Monday - Saturday: 10:00 am - 8:00 pm

Schedule Your Appointment

WHAT OUR PATIENTS SAY

tomato timer

adding google map to website